Trigger
You an anaesthetics resident working in a major tertiary hospital. Your first patient for the day is Alex, a 35 year old man who is booked for an emergency laparascopic appendicectomy. Your consultant has asked you to meet Alex in his holding bay and conduct a pre-anaesthetic assessment.
Tasks
- Take a targeted history from Alex.
- Demonstrate a targeted clinical examination including an airway assessment.
- Outline any investigations you would like to order.
- Assess Alex’s suitability for theatre this afternoon.
Please note the following…
- You do not need to confirm his diagnosis of acute appendicitis.
- Written findings will be provided at the end of your examination.
- You do not need to consent Alex for anaesthesia.
Actor’s Script
You are Alex, a well 35 year old gentleman who is scheduled to have a laparoscopic appendicectomy this afternoon.
Airway Questions
- No loose teeth or dental work
- You do not wear a denture
HOPC
- Not currently in any pain (nurses on the ward gave you medication already)
PMHx
- Asthma
- Currently on Symbicort 1 puff BD
- Using Ventolin once every few weeks
- No hospitalisations for asthma ever
- No history of reactions to NSAIDs
- Depression
- Taking escitalopram 10mg mane
- Known to your GP, nil other providers
Regular Medications
- Escitalopram 10mg mane
- Symbicort 1 puff BD
Anaesthetic History
- GA for right total knee replacement two years ago
- Vomited for the entire day after surgery
- Can’t recall any other issues
- GA for tonsillectomy in childhood
- Can’t remember any details
Family History
- No family members have had issues with anaesthesia
Social History
- Smoking: previously smoked about one pack per day, but quit two years ago
- Alcohol: social drinker
- Drugs: previously used cannabis, but haven’t used in over ten years
- Employment: bricklayer
Resources
Examination Findings
General
- BMI ~30
- No increased in work of breathing
- Speaking in full sentences
Airway
- Normal neck circumference
- Bearded
- Normal jaw opening
- Normal jaw protrusion
- Normal thyromental distance
- Mallampati 2
Breathing
- Vesicular breathing sounds posteriorly
- Equal symmetrical expansion of upper and lower thorax
Circulation
- Regular peripheral pulses
- ~75 bpm
Airway Example

Marking Key
Introduction
- Introduces name and role to patient
- Washes hands
- Identifies patient
History
- Confirms operation and mode of anaesthetic
- Asks about recent illnesses
- Explores PMHx
- Explored past anaesthetic history AND asks for complications
- Regarding asthma: confirms stability, severity, risk factors, complications, treatments
- Assesses METs (flights of stairs)
Examination
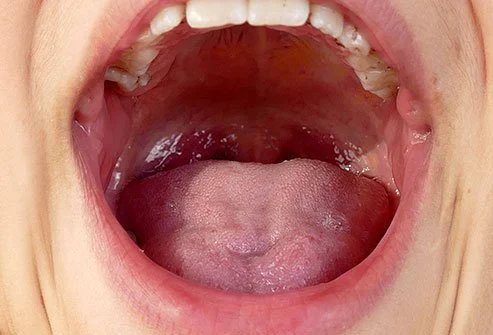
Provide Mallampati photo and ask the candidate which one they are.
- Correctly identifies Mallampati 2 airway
Investigations
Discussion
Examiner’s Questions
- What are the risk factors for post-operative nausea and vomiting?
- Candidate lists at least four of the following…
- Non-smoker
- Female sex
- History of PONV
- Inner ear surgery
- Briefly explain the Mallampati classifications of the airway.
- Candidate is able to accurately describe the four following Mallampati classes…
- Class I: soft palate, uvula, fauces, pillars
- Class II: soft palate, most of the uvula, fauces
- Class III: soft palate, base of uvula
- Class IV: hard palate only